rockinghamhousedentist
rockinghamhousedentist
rockingham house implant dentist
Home
» Patient Case Studies
Patient Case Studies
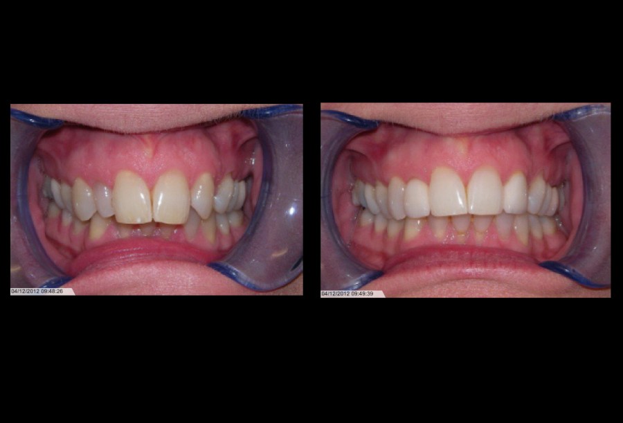
Smile Makeovers
All of the before and afters include Crowns,Veneers,Bridges,Dentures,Whitening,Fillings..
20
Images
Dental Implants
All the images include Implant Crowns, Implant Bridges and All-On-4 procedure....
09
Images
Home
Patient Testimonials
Meet Your Team
Practice News
Implants
All-on-4 Implants
Younger Looking Skin
Invisible Braces for Adults
Clinical Case Help
Referrals/Other Practices
Patient Case Studies
Easy Payment Plan
Contact us
Find us